Hallux valgus - that agonizing deformity that robs many people of the joy of running - affects between 23 and 35% of women and men of different age groups according to various studies. In the first part of our series on hallux valgus and trail running, we looked at what exactly hallux valgus is, the specific challenges it poses, especially for trail running, what treatment options are available and that I, Marina, decided to have surgery on both sides.
The first part of this article ended where my perception faded: at the beginning of the surgery, as I slipped into the gentle embrace of anesthesia. Now let's pick up at the exact point where my consciousness returned: At the end of the operation.
The first 5 minutes - I'm (almost) over it
As a rule, hallux valgus surgery is not performed under general anesthesia. As the sedative is quickly reduced after the operation, you are quickly awake again. However, a certain amount of drowsiness may well occur. The local anaesthetic in the feet continues to have an effect for a longer period of time, so that no pain is normally to be expected for the time being.
My experience
“We are finished. “ I hear the words, but they only reach me slowly. I carefully open my eyes and realize where I am: in the operating theatre of the clinic. A veiled face appears above my head, covered by headgear and a mask. I only notice the friendly eyes with the laugh lines. I regain consciousness, but feel as if I've been in a long, deep sleep from which I can't or don't really want to emerge. “You've made it through. We'll take you to your room now, Mrs. Kraus,” she informs me, and my bed starts to move. Pain? Not a thing.
The first 5 hours - Tired and relieved
The operation causes the feet to swell quickly, which is why it is important to keep them elevated as much as possible. But you don't want to get up yet anyway. The body is exhausted and has a challenging task with the onset of healing, which requires a lot of energy. Rest and sleep are therefore the most important priorities. Due to the long-lasting anesthesia in the feet, there is usually no pain at this time. Usually, after a few hours, the attending doctor will check again, otherwise not much else will happen on this day.
My experience
Tired, I let myself be pushed up to the second floor and take a quick look out of the window from my bed before my eyes fall shut again. I feel like I've pulled an all-nighter, that's how tired I am. My bed is adjusted so that my feet are above my heart level so that the surgical wound doesn't keep bleeding. In the late afternoon, my doctor comes by, she tells me that everything went well and my heart sinks. I still have no feeling from the ankle downwards, but that is normal and means that I need less pain medication for the time being. A nurse brings my belongings to my bed so that I can finally write a message to Falko and let him know that everything is OK. Then I doze off again and dream of long hikes in Norway.

The first 5 days - keep your feet up and pedal in the air
[After hallux valgus surgery (https://www.schulthess-klinik.ch/de/fusschirurgie/behandlung/hallux-valgus#Nachbehandlung-und-Rehabilitation), you usually spend one to two days in hospital. You can take your first steps in orthopaedic shoes just one day after the operation. During this time, reflexes and sensations are checked, painkillers are dosed, medication is administered to prevent thrombosis, wounds are checked and bandages are changed. The medical staff also give precise instructions for wound care at home. The feet are usually very swollen at this stage, which can cause unpleasant pressure pain. Keeping the feet elevated almost all the time is therefore one of the most important measures to reduce pain.
My experience
On the second day, the anesthesia wears off and the first pain slowly sets in. Thanks to the painkillers, however, everything is bearable and less bad than I had imagined. I'm amazed that a bone in each foot has been sawn through, moved and fixed with screws and yet I'm not in any worse pain.
However, day two is still really exhausting. At breakfast, I sit on the edge of the bed for the first time and the pressure in my feet increases rapidly, as does the pain. Within a few minutes, the bandages have bled through. In the afternoon, a physiotherapist helps me to put on the fashionably disastrous but orthopaedically sensible forefoot relief shoes, also known as Barouk shoes. Which means I sit down again, feet pointing downwards, then stand up. I'm wobbly on my feet and they hurt with every step. Nevertheless, I'm told to walk a few meters. Ten minutes later, I give up. I'm in a lot of pain and on the verge of tears. I spend the rest of the day in bed with my feet up and my mood in the basement.
I'm due to be released the next day and we want to take the van from Zurich back home to Valais. Sitting in the car for three hours - I can hardly imagine that after my first attempts at walking. And how am I even going to make it to the car? The pain is overwhelming. It intensifies again at night, and the high doses of painkillers make me feel sick. It's always a trade-off between medication and sickness.
On day three, I force myself to go to the bathroom in the morning and am glad when I'm back in bed five minutes later. As soon as I leave the horizontal position, the pain is almost unbearable and I feel like my feet are about to burst. I talk to the doctor and she says that staying in hospital for another night is better. I'm frustrated and scared, but now I have to wait and see. And the extra night was the right decision, because the next morning – it's day 4 now – the world looks a little bit better. The pain has subsided and it's easier to get up. Falko takes me in a crazy race with the wheelchair from the ward to the van and then back home with my feet up all over the place.
I was given medication in hospital to prevent thrombosis. At home, prophylaxis consists mainly of exercise, even if this is limited to wiggling my feet and cycling in the air. So I spend most of the day lying on the sofa, fidgeting or pedaling happily. That's all I'm good for anyway. Most of the time I sleep or doze, because I'm still totally exhausted like after a long hike and am only now realizing how much energy my body needs to heal.
The first 5 weeks - Orthopaedic fashion faux pas
The bones need several weeks to heal completely and grow back together stably. The forefoot relief shoes must therefore be worn consistently for four to five weeks. During this time, the swelling of the feet gradually decreases and walking distances in everyday life become increasingly longer. Upper body training is perfectly possible as long as the feet are elevated and not weighed down. Early physiotherapy with lymph drainage can also support the swelling reduction process.
My experience
The longer I lie down and then leave the horizontal position, the more intense the pressure pain in my swollen feet. It is worst in the morning after getting up. For the first few days, I can just make it from the bed to the sofa, then I have to put my feet up again. But every day the unpleasant pressure pain eases and the swelling goes down a little. After a few days, I can at least make myself a cup of coffee and eventually prepare my entire breakfast. After about four weeks, I can stand for around 20 minutes or sit normally at the table while eating without having to put my feet up.
I was on sick leave for two weeks after the operation, after which I started working from home again. That and the healing that my body is currently going through take a lot of energy. I also need a lot longer to do everything in everyday life. I'm constantly putting these shoes on and off, putting my feet up and down. Due to my limited stamina, I can only shower sitting down, and yes, that's just as awkward as it sounds. Of course, I can't do much sport during this time either. Lying on a yoga mat with my legs elevated, I do sit-ups and work on my arm strength with light weights. Finally it's this sports break that everyone talks about and I never do. 😄
The first 5 months - from physio to ski tour
Five weeks and a follow-up check later, the forefoot relief shoes are usually history. The bones have then generally healed so well that normal walking and light sporting activities are possible again. However, the feet remain very sensitive and the swelling can persist for months. Swelling should therefore be expected during prolonged exertion.
During this time, physiotherapy focuses on mobility of the big toes, building up the muscles in the feet through targeted exercises and improving balance.
My experience
I've been on a first-name basis with my physiotherapist for a long time, I've already had so many appointments. But the time invested in strength exercises for the foot muscles and balance training is worth it, because I'm making great progress. The swelling is going down and the mobility of my toes is steadily improving. In addition to physiotherapy, I spend a lot of time on the roller trainer to maintain my condition and walk countless kilometers to keep my feet moving naturally on a regular basis.
Week after week I can walk longer distances and at the beginning of December, eight weeks after the surgery, I go for my first jog. At 3.5 kilometers, it's rather short, but the feeling of finally being able to run outside again is absolutely fantastic. From now on, things are progressing “in leaps and bounds”. Just before Christmas, I am so motivated that I try on my ski touring boots for the first time. However, I have to realize that it's probably still too early for that and the swelling is still too severe. My foot just doesn't fit into the boot. So for the time being, I enjoy the first snow just before Christmas with snowshoes and on the cross-country ski trail. Three months after the operation, it feels like a huge success that I hadn't expected so quickly.
Over the Christmas holidays, we are visiting Venice and I am delighted to finally be traveling again. We jog on Murano and walk criss-cross through the lagoon city, up to 18 kilometers a day. It's not just exhausting for my feet so I lie in bed every evening completely drained and looking forward to the new year. But all the miles of walking help to reduce the swelling and so I finally go on my first ski tour in mid-January. The ascent goes well, but on the descent the hard shell of the ski boots presses uncomfortably on the sensitive scars. I arrive back down in the valley with pain, but also a big smile on my face. From February, it's time for the real uphill ski tours - destinations such as the Cabane des Vignettes, the Col des Ignes and the Breithorn (Simplon) are already on the agenda.

Questions about questions - and my answers
-
When can you walk again? You can take your first steps the day after the operation. However, this requires a certain amount of effort and the use of a special forefoot relief shoe. Every day after the operation, I could gradually feel myself taking more steps.
-
How long did you have to take the weight off your forefoot? I didn't put any weight on my forefoot for a total of five weeks. Walking in the special orthopaedic shoes was unfamiliar at first, but after a few days I found it increasingly easy. I soon got used to getting up from bed, sofa or chair wearing only these shoes.
-
**When were you able to jog again? Here you have to differentiate between being allowed to and being able to. On average, you can jog again after about eight weeks, provided the healing process goes smoothly. Due to the long break and the persistent swelling of my feet, the first few runs were rather short. But over time, the distances became longer again and my body got used to the unaccustomed strain.
-
Do ugly scars remain on the feet? This is a very individual question and depends very much on what you perceive as “ugly”. In my case, the stitches were very neatly placed and the wound healed without complications. The scars were also treated in physiotherapy to keep them flat. Of course they are somewhat visible, but for me this is completely acceptable. My main goal wasn't aesthetics, but pain-free, functioning feet.
-
How satisfied are you with the result? Everyone has to decide for themselves whether they want to have hallux surgery. After more than a year, I am more than satisfied with the result. Not everything is perfect, but it is much better than before the operation. I can find shoes that fit again and can go on long tours - something that was hardly possible before.

10 months after operation - almost back to normal
It can take up to one year for the feet to return to their “normal state”, in some cases even longer. The swelling is therefore persistent. But over time, the ability to cope with stress in everyday life and sporting activities improves steadily. However, slight swelling can occur from time to time, especially after prolonged and intensive exercise.
My experience
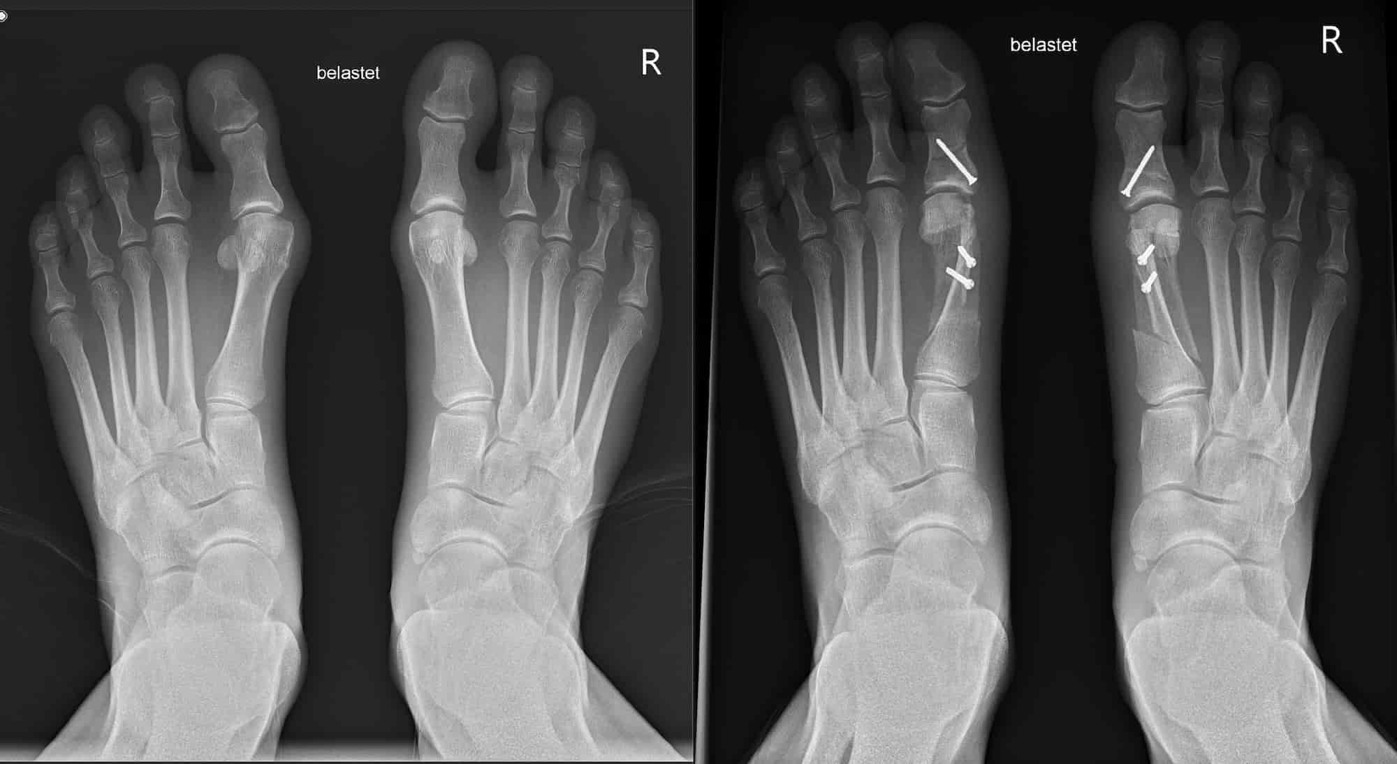
The first trail runs in spring are still a bit bumpy, but by early summer I've all but forgotten about the operation and in May I finish physiotherapy after seven months. My feet are coping with everything, no longer hurt and the swelling is barely noticeable. I no longer have any problems even after longer tours. Then a minor setback at the end of July: now that the swelling has finally subsided, two screw heads become noticeable under the skin on my left foot and I notice pressure points. Over a few weeks, the pain at these points increased because the tissue became more and more irritated.
The screws could simply be removed immediately and the small stitch would then take about two weeks to heal. However, our trail running vacation is just around the corner and I don't want to spend two weeks at a campsite in the Engadin while Falko explores the trails on his own. So we come up with an alternative. With approx. 5 mm thick padding around the pressure points, I can run without pain and together we hit the trails in the Engadin! My personal highlight is our trail run through Val Roseg. We combine our return journey with an appointment at the clinic and after just half an hour I have both screws off. A week later, I'm already hiking through the mountains again, while Falko is out trail running around Saas-Fee.

15 months after the operation - trail half marathon and more!
After more than a year, complete rehabilitation is normally assumed and trail running with the usual distances and altitude meters should be possible again. Hardly any discomfort or restrictions due to the operation are to be expected in everyday life and during sport, and the feet should feel stable and natural again. What sometimes takes longer are the altered sensations around the scars due to the nerves that have not yet healed completely and were damaged during the operation. However, this can also improve over time. An important point, regardless of whether surgery has taken place or not, is to focus on long-term foot health through targeted training and good footwear.
My experience
At this point I have already run 1200 kilometers since the operation. My feet feel good and my choice of shoes has increased tenfold. All the ups and downs of the last few months are slowly but surely fading into the background. When I'm out on the trails now, it's mostly my endurance and no longer my feet that set me a limit - and I can work on that. I'm excited to see what adventures await me. My feet are definitely ready for it!
Bottom line
Every hallux valgus operation is individual, which is why I can only give my own experiences here. In general, there is a poor opinion of this operation and prejudices from past times, when the methods and post-treatment options were probably not as good as today's medicine allows, are often left unchecked. That's why I would advise you if you suffer from hallux valgus: Get a professional opinion and find out for yourself from reliable sources, such as specialist clinics. Surgery always involves risks, but also opportunities, and in the end you have to decide for yourself what the best way forward is.
Ich kann für mich sagen, dass ich die richtige Entscheidung getroffen habe. Ich wusste, worauf ich mich einlasse, was schiefgehen könnte und was ich erreichen möchte. Wenn du weitere Fragen zu diesem Thema hast oder mehr über meine Erfahrungen wissen möchtest, nimm gerne Kontakt zu mir auf.





