Hallux valgus, an agonising deformity of the foot, often causes sufferers unbearable pain for years. I speak from my own experience on this subject. Hardly any shoes fit properly, climbing shoes were a relic of the past and my fear of pain became my constant companion before every long trail run. All attempts to achieve relief or improvement failed miserably. But as the pain continued to worsen, I was faced with an unavoidable decision: surgery - yes or no?
In this article, I would like to share my experiences with hallux valgus - also known as bunions - with you, reveal my personal history of suffering and show you what options are available. But before we go into detail, let's first clarify the basics.
What is hallux valgus?
The human big toe has the anatomical name ‘hallux’. The suffix ‘valgus’ comes from Latin and means ‘bent outwards’. Put together, hallux valgus therefore describes a displacement of the big toe in which the toe bends outwards, i.e. away from the centre of the body.
This pushes the metatarsophalangeal joint towards the centre of the body, making the foot wider at this point. This misalignment often leads to overloading of the second metatarsal bone, the surrounding ligaments and the joint capsule. It is not uncommon for a hammer toe to also develop, which can further exacerbate the symptoms.
The hallux and me
I vividly remember as a child looking at the strangely deformed toes of my grandfather and grandmother. Both suffered from a pronounced hallux valgus, and this anomaly exerted a noticeable fascination on me that was also unsettling. At the time, I had no idea that I had inherited the ‘full load of hallux genes’. At the age of 14 or 15, the deformity began to develop in me too. But as long as my Converse Chucks still fitted, I didn't give it much thought. It wasn't until I was in my twenties that buying shoes became more and more of a challenge, and at some point, no matter what shoes I wore, they simply always pinched.
Causes: Why does hallux valgus develop?
The causes of hallux valgus are varied. It is often claimed that high-heeled or pointed shoes are the main cause - especially in women. Such shoes can indeed favour the development, but other factors usually play a role:
- Genetic predisposition: Weak connective tissue or fallen arches are often hereditary.
- Biomechanical incorrect loading: Unfavourable foot statics can favour the deformity. ** Age and gender: Women are affected more frequently than men, and the risk increases with age.
I have never worn pumps or pointed shoes - my heart has always beaten for comfortable running shoes. Nevertheless, I developed hallux valgus. This experience shows me how significant genetic factors can be. In my case, due to my family history, it was clearly heredity that caused me difficulties early on.
Symptoms: How does hallux valgus manifest itself?
The symptoms can vary depending on the severity, but are similar for all sufferers:
- Pain at the metatarsophalangeal joint, especially when wearing shoes.
- Calluses or pressure points on the ball of the foot.
- Inflammation and swelling due to constant pressure.
- Difficulties when wearing tight shoes, e.g. climbing shoes or ski boots.
The hallux and me
I am a passionate trail runner, hiker and cross-country skier. My hallux pain became a constant companion and became more and more noticeable during sport. I was often forced to give up prematurely, especially on long tours and in stiff ski boots. My conclusion: something had to be done urgently.

Hallux valgus and trail running: a special challenge
For trail runners and outdoor athletes, hallux valgus can be a significant limitation for several reasons. Firstly, the metatarsophalangeal joint of the big toe is put under a lot of strain during sports such as trail running or hiking due to the constant impact and uneven terrain. On longer runs or tours in particular, this can lead to intense pain, which not only takes the fun out of exercise, but in the worst case can lead to you having to stop the run completely.
Another problem is finding suitable shoes. Trail runners know how important a perfect fit is, especially when the surface is challenging. However, hallux valgus makes this all the more difficult, as tight shoes increase the pressure on the deformity. At the same time, wide and flexible shoes sometimes do not provide the necessary support required for technical terrain. It is a constant balancing act between functionality and comfort.
Furthermore, the pain is often not limited to the metatarsophalangeal joint. The malalignment affects the statics of the entire foot, which can lead to overloading of other areas, such as the metatarsal bones or the forefoot. In the long term, this can also lead to other complaints, such as tendonitis. Anyone with hallux valgus therefore needs to think carefully about how they can continue to do sport without risking pain or consequential damage.
The hallux and me
Over the years, my hallux pain has steadily increased and become more frequent. A decade ago, I only had occasional problems when buying shoes. After a long search, I usually found a pair that fitted reasonably well. But five years later, the situation was already very different: Normal shoe shopping was hardly possible anymore. Apart from soft trail running shoes, I could hardly find any suitable footwear.
I had to have mountain and ski boots customised for a lot of money and with moderate success. This was not only expensive, but also frustrating, as success was often limited. The hallux on my left foot was already so pronounced that even wearing customised shoes was still painful. At some point, particularly long tours or intensive sports days were almost inconceivable.
So the question I asked myself was: What can I do? Can a hallux valgus be treated?

Treatment: What helps with hallux valgus?
Conservative methods
Foot exercises: Even if hallux valgus cannot be completely corrected with exercises, targeted exercises help to strengthen your foot muscles and reduce the strain on the big toe joint. As a trail runner in particular, you benefit from a stable arch to compensate for the strain on uneven terrain. Exercises like these can help to reduce strain and reduce pain in the long term when trail running. It is important to do them regularly and to be patient, as changes take time. Here are some helpful exercises: * Toe claws: Sit on a chair and lay a towel flat on the floor. Try to grab the towel with your toes and pull them together. This exercise strengthens the small foot muscles and the longitudinal arch. * Foot rolling: Use a hedgehog ball or a fascia roller to massage the sole of the foot. This promotes blood circulation and relieves tension. * Toe raises: While standing, raise all your toes at the same time and lower them again in a controlled manner. This exercise helps to improve balance and activate the muscles in the forefoot area. * Balance exercises: Stand on one leg and close your eyes to challenge your balance. For more stability, you can bend your standing leg slightly. This not only trains your foot muscles, but also your coordination.
-
Orthopaedic insoles:** Individually customised insoles can support the foot and prevent tendonitis, but do not correct the deformity. Ultimately, this is also only a symptom treatment. The cause of the pain and overloading remains.
-
Bandages and splints:** There are many splints, compression stockings and pressure plasters on the market that are supposed to provide relief for hallux valgus. However, if you ask doctors, the standard answer is that all these little miracle cures are ineffective. A hallux cannot be corrected with a splint that is worn overnight, for example.
-
Comfortable shoes:** Wide and soft shoes can relieve pressure pain, but are no substitute for long-term treatment. Models such as the Hallux hiking boots from Hanwag can be helpful for moderate misalignments and thus also enable longer hikes without overly severe pressure points.
Surgical intervention
Surgery is often the most effective method of permanently correcting a deformity. Modern surgical procedures are designed to preserve joint mobility and minimise healing time. In particularly severe cases, a stiffening of the metatarsophalangeal joint can also be a sensible option. Even such a stiffening usually does not lead to any restrictions in everyday life and usually has little or no effect on sporting activities.

The hallux and me
It's spring and we set off on a trail run along a bisse, one of those picturesque waterways that criss-cross the Valais. The sun bathes the southern slopes in warm light, birds chirp in the still bare trees and we are travelling at a brisk pace. But suddenly, quite unexpectedly, I'm lying on the ground. At first I'm confused, then the pain sets in. I've caught my foot on a stone on the hiking trail, stumbled and hit the ground lengthways. My hands are scraped, my fleece jacket torn. But worst of all: my left hallux hurts worse than ever before. I've really bruised my already irritated metatarsophalangeal joint, which means I can't start the running season for the time being.
My head is spinning with thoughts about how I should deal with the hallux in the future. It can't go on like this, because the deformity makes me more and more vulnerable and prevents me from enjoying sports such as ski tours, even though I enjoy them so much. After intensive research, painful trail runs and futile shoe purchases, I decide to contact a specialised clinic.
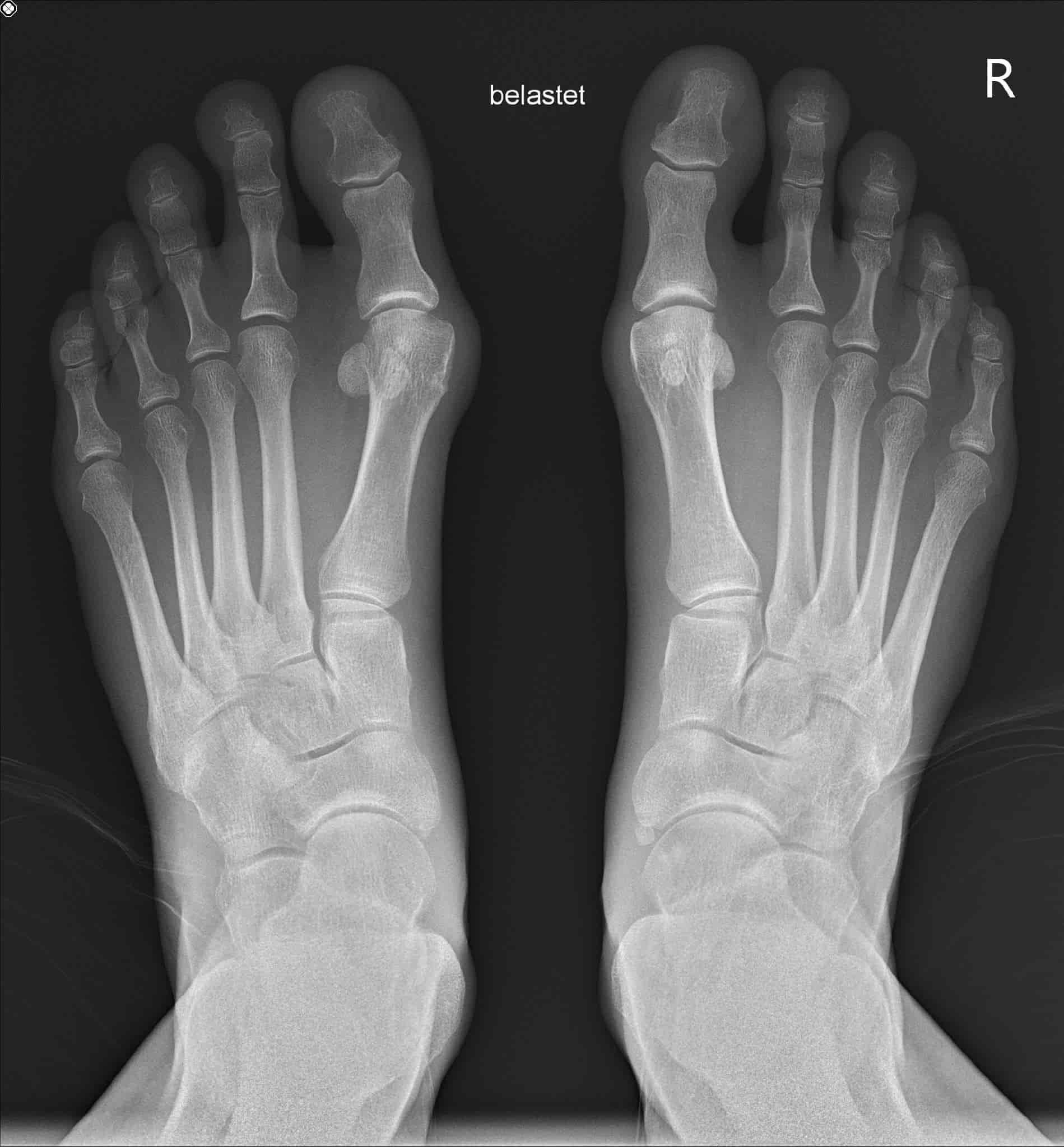
My information session takes place in May, during which I learn a lot about hallux, its causes and treatment options. The X-ray images speak for themselves, and all the risks and opportunities are laid openly on the table. Without any time pressure, I take the information home with me and think about it in detail. The operation, which initially seemed like a spectre, becomes a real option.
The idea of having not only the left foot - with the advanced hallux valgus - but also the right hallux valgus corrected at the same time shocked me at first. But the longer I think about it and the more I find out about the procedure, the clearer I realise the advantages: just one operation, just one rehabilitation process and the hallux valgus chapter could be closed in one fell swoop.
Answers to frequently asked questions
How long does the operation take? The operation took me about 90 minutes for both feet.
-
How does the operation work? I didn't notice much of the actual operation, I didn't feel any pain at all. My feet were completely anaesthetised from above the ankles to the tips of my toes. I was also given a sleeping pill.
-
Which method is used for me? Depending on the deformity, there are many different procedures that can be used. I had a scarf osteotomy and an Akin osteotomy of the big toe.
-
Can I not walk for several weeks after a bilateral operation? Yes, because there are special orthopaedic shoes that relieve the forefoot and allow limited and careful walking over short distances.
-
**What are the risks of hallux valgus surgery? Infections, subsequent corrections or, in rare cases, problems with wound healing are typical risks that can occur with any operation. It is best to ask a specialist about the specific risks associated with hallux valgus correction.
-
How is the healing process and rehabilitation going? This varies greatly from person to person, but there are some key points, such as a few weeks for the bone to heal and up to a year for the swelling to go down. You can find more information on the healing process in the second part of this article.
A decision is made at the end
I will have the hallux valgus corrected on both feet at the same time. I am sure that the less pronounced deformity on the right will cause more problems in the next few years - the symptoms there have worsened considerably in the last few months. I want to avoid a second operation at all costs. In my family, I have experienced where hesitation can lead: My grandmother had the hallux corrected on one foot. Although she was very happy with the result, she never dared to have the second foot operated on. I prefer to get straight to the point.
Hallux valgus surgery on both feet
Depending on the method and doctor, surgery on both feet takes about an hour and a half and usually requires a hospital stay of two to three days. The procedure is performed under local anaesthetic, general anaesthesia is not necessary. A sedative is usually administered to calm you down so that you notice as little as possible of the procedure. These facts now await me - a consequence of my decision.

The last evening with crooked feet
End of September: We travel to Zurich a day early because I have to go to the clinic early the next morning. In the evening, I jog one last time along the shores of Lake Zurich - the last eight kilometres of the year. The autumn leaves rustle under my feet. So far, I have achieved my goal of running at least 100 kilometres every month. However, I have to postpone the 1,200 kilometres for the whole year. Afterwards, I have an early dinner, as I won't be allowed to eat any more soon and have to sober up tomorrow morning. I'm nervous, restless. Anticipation mixes with fear - of the operation, of pain, of making a mistake. Before I go to bed, I take a ‘souvenir photo’ of my feet. So crooked and bent - how have I put up with it for so long? I try to distract myself with a book, but the thoughts won't let me go. Eventually I fall asleep anyway.
The next morning I just drink a glass of water to sober up, then I'm off. I take the tram to the clinic. Should I turn back? A brief moment of hesitation. But I gather my courage, enter the clinic and register. From now on, everything runs quickly: the operating theatre preparation room, changing clothes, stowing valuables. The doctor who is helping to carry out the operation appears in full kit. He applies the anaesthetic to my feet - the pain is intense. At that moment, I curse my decision to have both feet operated on at the same time. But that too passes. Shortly afterwards, I feel neither pain nor my feet. The sedative flows through my veins and takes effect quickly. While I'm being wheeled into the operating theatre, I can still see my doctor's face behind the mask. I fall asleep with my headphones on and relaxing jazz playing.
You can find out what happens next and my experiences after waking up with two operated hallux valgus feet in part 2: Hallux Valgus Surgery & Trail Running: The Journey Back to the Trails.**



